시력 저하, 그 시작은 황반에서?
“요즘 시야가 흐릿하거나 중심이 잘 안 보이세요?”
그렇다면 가장 먼저 점검해야 할 곳은 바로 황반(黃斑, Macula)입니다. 황반은 눈의 중심부에 위치하며, 우리가 사물을 또렷하게 보고 색을 구분할 수 있도록 도와주는 매우 중요한 부위입니다. 하지만 이 부위에 부종(부풀어 오름)이나 구조 이상이 생기면, 중심 시력 저하, 왜곡시(사물이 휘어져 보임), 색감 변화 등이 나타날 수 있습니다.
이처럼 황반의 이상을 정확히 진단하기 위해 가장 널리 사용되는 장비가 바로 광간섭단층촬영(OCT)입니다. OCT는 망막의 단면을 마치 조직검사처럼 정밀하게 보여주는 비침습 영상 검사로, 초기 황반질환부터 심화된 시력 손실까지 다양한 단서를 제공합니다.
이번 글에서는 2025년 5월 촬영된 한 환자의 양안 OCT 검사 결과를 기반으로, 어떤 이상 소견이 발견되었는지, 각 눈의 상태는 어떤 차이를 보이는지를 분석하고, 이를 통해 황반 건강의 중요성과 치료 필요성에 대해 이야기하고자 합니다.
황반 부종 의심? OCT 검사로 알아보는 망막 두께와 이상 소견


황반 OCT(광간섭단층촬영) 검사란?
망막 OCT(Optical Coherence Tomography)는 눈 안쪽 망막의 단면을 고해상도로 촬영하여, 황반(중심 시력을 담당하는 부위)의 상태를 정밀하게 분석할 수 있는 비침습적 검사입니다. 주로 황반변성, 당뇨망막병증, 황반부종, 중심망막전막, 망막박리 등 다양한 망막 질환의 진단과 경과 관찰에 사용됩니다.
[OCT 검사 해석] 양쪽 눈 중심망막 두께 비교 분석 – 황반 질환 조기 진단의 핵심
환자의 양안 망막 OCT 검사 요약
망막 OCT(Optical Coherence Tomography)는 눈 속 망막의 구조를 미세 단위까지 정밀하게 확인할 수 있는 첨단 영상 진단 장비입니다. 특히 중심망막(황반)의 두께와 구조 변화를 분석하여 황반변성, 황반부종, 중심망막전막(CME) 등 다양한 질환을 조기에 진단할 수 있습니다.
이번 OCT 스캔 결과는 한 명의 환자를 대상으로 **양쪽 눈(OD: 오른쪽 눈 / OS: 왼쪽 눈)**의 망막을 비교 분석한 것입니다.
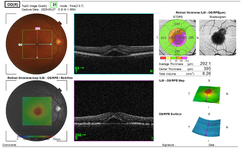
오른쪽 눈(OD: Oculus Dexter) 검사 결과
- 평균 망막 두께: 292.1μm
- 중심망막 두께: 395μm (정상 대비 현저히 증가 → 황반부종 의심)
- 총 망막 부피: 8.26 mm³
- ETDRS 망막 격자 분석:
- 중심 부위: 413μm
- 주변부: 대부분 330~365μm로 고르게 두꺼운 경향
- 단층 영상(B-scan): 중심 부위에 볼록한 돔 모양과 망막 내 수분 축적 소견 → 망막 내 낭포성 변화(Cystic edema) 가능성
- 3D 맵: 중심부에 국소적으로 돌출된 황반 영역 확인 가능
판단: 황반 중심부에 국소적 부종이 뚜렷하게 관찰되며, 이는 황반부종(Macular Edema) 또는 중심장액성맥락망막병증(CSC) 가능성을 시사합니다. 당뇨, 혈관폐쇄 병력 유무 확인 필요.
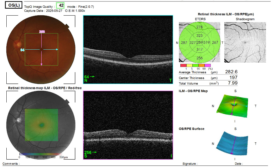
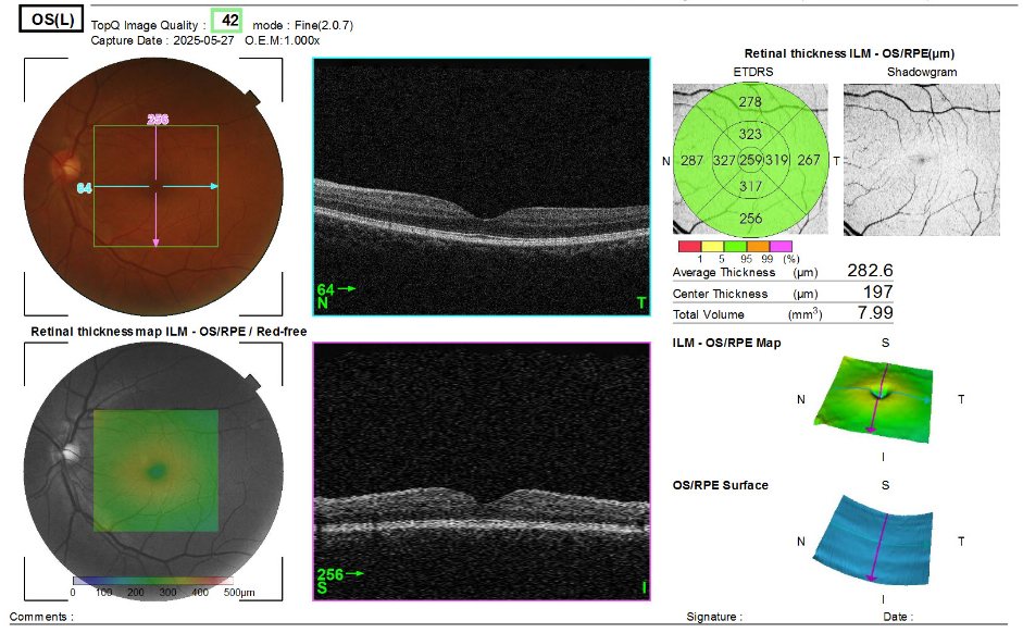
왼쪽 눈(OS: Oculus Sinister) 검사 결과
- 평균 망막 두께: 282.6μm
- 중심망막 두께: 197μm (정상 하한선 수준)
- 총 망막 부피: 7.99 mm³
- ETDRS 격자 분석:
- 중심부: 259μm (정상 범위)
- 주변부: 256~327μm 사이로 안정적 분포
- 단층 영상: 망막 층이 평탄하고 구조적 이상 소견 없음
판단: 중심망막 두께가 정상이거나 약간 얇은 수준이며, 황반부종이나 삼출성 변화 없음. 구조적 안정성 양호.
양안 비교 요약
항목 오른쪽 눈 (OD) 왼쪽 눈 (OS)
| 평균 두께 | 292.1μm | 282.6μm |
| 중심 두께 | 395μm | 197μm |
| 망막 부피 | 8.26 mm³ | 7.99 mm³ |
| 병리 소견 | 황반부종 의심 | 정상 |
✔️ 의미: 오른쪽 눈에 국소적 부종이 발생한 것으로 보이며, 왼쪽 눈은 정상 구조 유지. 조기 치료로 오른쪽 눈의 시력 손상을 예방할 수 있습니다.
OCT 검사 결과로 의심 가능한 질환
- 황반부종 (Macular Edema) – 중심망막 두께 증가가 주요 소견
- 당뇨망막병증(DME) – 당뇨 환자에서 흔히 발생
- 중심망막정맥폐쇄 (CRVO/BRVO) – 정맥순환장애에 따른 삼출
- 백내장 수술 후 낭포황반부종(CME)
결론 및 권장 조치
- 오른쪽 눈의 황반부종이 의심되므로 망막 전문 안과에서의 정밀 진단과 치료 필요
- 병력(당뇨, 고혈압, 수술 여부 등) 및 증상(시야 흐림, 중심 왜곡 등) 확인
- 정기적인 OCT 추적 관찰을 통해 치료 반응과 진행 여부 확인 필수
마무리: 시력은 되돌릴 수 없습니다. 조기 발견이 핵심입니다.
눈은 한 번 손상되면 되돌리기 어려운 기관입니다. 특히 황반은 시력의 핵심 중추로, 부종이나 삼출이 오래 지속되면 영구적인 시력 저하가 발생할 수 있습니다. 다행히도 OCT 검사를 통해 초기 이상을 조기에 발견하면, 적절한 치료로 회복 가능성을 높일 수 있습니다.
이번 검사에서는 오른쪽 눈에 국소적 황반부종이 관찰되었으며, 이는 당뇨, 고혈압, 정맥 폐쇄, 백내장 수술 이력 등 다양한 원인과 연관될 수 있습니다. 반면 왼쪽 눈은 정상 범위로 구조적 안정성을 보였습니다. 이처럼 한쪽 눈만 증상이 있는 경우도 많기 때문에, 양안 정기검진은 필수입니다.
만약 최근 시력 변화나 불편함을 느끼고 계시다면, 지금이 바로 안과 정밀검사를 받아야 할 시점입니다. 빠른 진단과 치료가 평생의 시력을 지키는 첫걸음임을 잊지 마세요.
'눈(eye)에대한정보 > 환자실제사례' 카테고리의 다른 글
| [실제 사례] 라섹 수술 후 안약 중단 → 각막혼탁,근시퇴행 발생…왜 생기나? (2) | 2025.05.08 |
|---|---|
| 라식상담시 발견된 망막질환-황반변성과 망막정맥폐쇄 (0) | 2025.03.19 |
| 라식라섹 검사시 발견된 견인성 망막열공(망막박리) (3) | 2025.02.05 |